Admission open for academic year 2024-2025
ABOUT
About DSCDS
History
Leadership
Administrative Team
Vision & Mission
Institutional Strategic Plan
Institutional Distinctiveness
Institutional Best Practices
Principal's Message
Governing Council
Committees
Transitional Years
Our Services
General Regulations
Mandatory Disclosures
PROGRAMS
BDS
MDS
Ph.D
ADMISSIONS
Brochure
Admission Flyers
BDS Admissions
MDS Admissions
PhD Admissions
EVENTS
NEWS
CAMPUS LIFE
Campus Life
Hostel
Food & Transport
Accommodation
Financial Aid
STUDENT INFO
Pay Fee Online
Student Charter & Council
Student Code of Conduct and Ethics
Student Health Manual
E-Notice Board
NIRF
ERP LOGIN
NAAC
Journal
CAREER PORTAL
CSR
LIBRARY
About Library
Library Staff
Collections
Faculty Books
Circulation Section
Journals Section
Digital Library
E-Resources
User Awareness
Usefull URL`s
ALUMNI
CONTACT
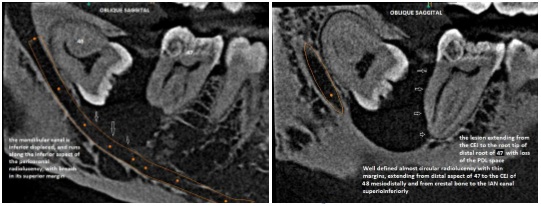
Oral Medicine and Radiology
Laboratories / Facilities
INVESTIGATIONS
Radiovisiography
Diagnostic kits for specific studies
Vital staining and Biopsy
Intra Oral Radiography Machine - Conventional and Digital
Extra Oral Radiography machine - 100mA machine
OPG- Conventional and Digital
Intra-Oral Camera for patient education and records.
Oral Medicine and Radiology
HOD's Message
Course Details
Laboratories / Facilities
Faculty
Research
Publications
Achievements & Toppers List
Master Time Table
Department Initiatives
Department News
Alumni
Department Photos