Achievements & Toppers List
Achievements:
- Dr. Prashanth NT was awarded the PhD Degree in Oral and Maxillofacial Surgery under the RGUHS, in 2017.
- Dr. Prashanth NT, Publications on PTSD, Anxiety and Depression have been cited several times in a chapter on facial trauma in Rosen’s textbook of Emergency Medicine 9th Edition
- Dr. Prashanth NT is an Invited Speaker at various State, National and International Forums.
- Dr.Shobha E S, has presented Research Papers at National and International Conferences held.
- Dr. Shobha ES was awarded the PhD Degree in Oral and Maxillofacial Surgery under the RGUHS, in 2018 and received Fellowship in Oral Implantology from the International Congress of Oral Implantologists (USA) in 2020.
- Dr .Vinod Rangan received Fellowship in Oral Implantology from the International Congress of Oral Implantologists (USA) in 2020 and is an invited speaker for various National and International Conferences.
- Dr. Sourav Sarkar, PG Student, was adjudged the BEST POSTER for his presentation at the National PG Conference held in 2017.
- Dr.Soya Alfred Xavier won the FIRST PRIZE for a paper presentation titled ‘Tissue Engineering and Regenerative Medicine (TERM) held at Quest 2018, The Graduate Dental Science Extravaganza held in Virajpet, Coorg.
- Dr.Shobha E S, has presented Research Papers at National and International Conferences held.
- Analysis of Stress and Strain Energy fields in craniofacial fracture. Dr. Shobha E S, Dr. H P Raghuveer, Dr. Suresh Nagesh, Mr. Vinay K S. The 2015 Biomedical Engineering International Conference- IEEE, (Bmeicon-2015) , Pattaya, Thailand.
- Computational biomechanics in craniofacial fractures- A simulation study. Dr. Shobha E S, Dr. H.P. Raghuveer, Dr. Suresh Nagesh, Mr. Vinay K S,Dr.Dilip Kumar R, Dr.Prashanth N.T, Dr.Vinod Rangan.13th international IEEE conference, INDICON 2016, held at Indian Institute of Science, Bangalore .
- Biomechanics of craniofacial fractures: a simulation study. Dr. Shobha E S, Dr.H.P.Raghuveer, Dr. Suresh Nagesh, Mr. Madhava M C . “Science in the Age of Experience”, May 2017 at Chicago, Illinois, USA.
- Dr. Shobha ES was awarded the PhD Degree in Oral and Maxillofacial Surgery under the RGUHS, in 2018.
- Dr. Prashanth NT was awarded the PhD Degree in Oral and Maxillofacial Surgery under the RGUHS, in 2017.
- Dr. Prashanth NT ,publications on PTSD, Anxiety and Depression were cited twice in a chapter on facial trauma in Rosen’s textbook of Emergency Medicine 9th Edition
- Dr .Vinod Rangan is an invited speaker for various National and International Conferences.
- Dr. Sourav Sarkar, PG Student, was adjudged the BEST POSTER for his presentation at the National PG Conference held in 2017.
- Dr.Soya Alfred Xavier won the FIRST PRIZE for a paper presentation titled ‘Tissue Engineering and Regenerative Medicine (TERM) held at Quest 2018, The Graduate Dental Science Extravaganza held in Virajpet, Coorg.
Topper’s List (MDS Oral and Maxillofacial Surgery):
2006-2009 – Dr.M.S.P.S.Sundaravel
2007-2010 – Dr.Vinod Rangan
2008-2011 – Dr.Vimlesh Sahu
2009-2012 – Dr.Kiran Prakash Mallya
2010-2013 – Dr.Sunil Kumar Mall
2011-2014 – Dr.Honey Verma
2012-2015 – Dr.Shashant Kumar Gupta
2013-2016 – Dr.Nathiya B
2014-2017 – Dr.Archana G Panicker
2015-2018 – Dr. Nikhila G
2016-2019 – Dr. Himanshu Soni
2017-2020 – Dr. Qaiser Nasir
2018-2021 – Dr. Vishakha Agarwal
2019-2022 – Dr. Sowmiya S
2020-2023 – Dr. Neha V Nainoor
2021-2024 – Dr. Samiksha Gour
A FEW SPECIAL CASES OPERATED:





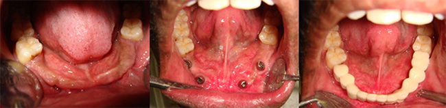
Full mouth Rehabilitation:
Dental Implant Prosthesis

Trauma

Infections

Recent Cases Operated at Sagar Hospitals, Banashankari (December 2017 till date)